Almanya’nın Bremen – Mitte Hastanesi’nde görevli deneyimli cerrah Prof. Dr. Hüseyin Bektaş ve ekibi, mide kanserine bağlı olarak gelişen ve 8,5 kilo ağırlığına ulaşan dev bir tümörü başarıyla çıkardı.

65 yaşındaki kadın hasta, uzun süre boyunca büyük bir tümörle yaşadığını fark etmeden hayatına devam etti. Ancak zamanla iştahsızlık, ciddi kilo kaybı (3 ayda 22 kilo) ve genel sağlık durumundaki kötüleşme nedeniyle doktora başvurdu.

Yapılan kontroller sonucu büyük bir mide tümörü tespit edildi ve hasta acil olarak Klinikum Bremen-Mitte’deki Onkoloji Merkezi’ne sevk edildi.
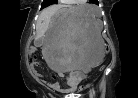
Bilgisayarlı tomografi görüntüleri tümörün ne denli büyük olduğunu gözler önüne serdi. Tümör karın içindeki organları mide, karaciğer ve bağırsakları kenara itmiş, diyaframdaki bir boşluktan göğüs boşluğuna sarkmıştı.
Nisan ayının başında gerçekleştirilen zorlu operasyonda tümör başarıyla çıkarıldı. Ancak, tümör yalnızca mideyi değil, yemek borusu ve pankreası da kısmen sarmıştı. Bu nedenle bazı organların bir kısmı, dalağın ise tammı alınmak zorunda kalındı. Ertesi gün gerçekleştirilen ikinci operasyonla kalan küçük tümör kalıntıları temizlendi ve hastanın midesinden bir tüp oluşturarak yemek borusuna bağlandı.
Yoğun bakımda başlayan tedavi süreci olumlu ilerliyor. Hasta şu anda normal servise alınmış durumda. Prof. Dr. Bektaş, “Hastamız şu anda yiyip içebiliyor, günlük yaşamına dönebilecek durumda” diyerek memnuniyetini dile getirdi.
Ancak, çıkarılan tümörün kötü huylu (maling) olması nedeniyle yeniden oluşma riski bulunuyor. Bu nedenle hasta onkolojik kontrollerle yakından takip edilecek. Klinikum Bremen-Mitte’deki Viszeralonkolojik Merkez, bu tür durumlar için ileri düzey tedavi imkanları sunuyor.
Prof. Dr. Bektaş, Bu tür vakaların, kanserin sinsi bir şekilde gelişebileceğini ve ilk zamanlarda ağrı yapmadan büyüyebileceğini gösterdiğini belirtti. Bu nedenle düzenli kanser taramaları ve erken teşhis büyük önem taşıyor. Mide ve bağırsak kanserlerinde iştahsızlık ani kilo kaybı, karın ağrısı, kanlı dışkı gibi belirtiler mutlaka ciddiye alınmalı
Bremen-Mitte Onkoloji Merkezi mide, bağırsak, pankreas, safra yolları yemek borusu ve karaciğer kanseri üzerine uzmanlaşmış durumda. Modern teşhis yöntemleri ve cerrahi tetniklerle, erken evrede tespit edilen kanserlerin tedavisinde büyük başarı elde ediliyor.
kaynak : haberci
Belçika’da 8 yaşındaki çocuk traktörün altında kalarak hayatını kaybetti
ALMANYA
Uluslararası Demokratlar Birliği (UID), Avrupa’nın kalbi Brüksel’de iftar programı düzenledi
1
Belçika’da 3 seçim bölgesinde oy kullanılacak
110144 kez okundu
2
Boşanma davasında eşlerin Türkiye’deki banka hesapları paylaşılır mı?
44661 kez okundu
3
YURTDIŞINDA YAŞAYAN TÜRKLERE E – DEVLET SİSTEMİNİN FAYDASI VAR MI ?
19297 kez okundu
4
Belçika’da eşi tarafından öldürülen anne ve oğlunun cenaze namazı kılındı
18210 kez okundu
5
Belçika’nın Gent şehrinde kayıp 14 yaşındaki Türk kızı Naran Karakaya için arama çalışması başlatıldı
17656 kez okundu