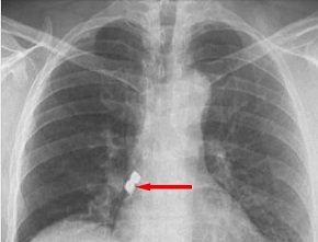
Afyonkarahisar’ın Emirdağ ilçesinde, bir kişinin diş tedavisi sırasında soluk borusuna kaçan iki implant başarıyla çıkarıldı.

Belçika’da yaşayan 56 yaşındaki Emirdağlı gurbetçi Demet Kaplan, geldiği Emirdağ ilçesinde diş tedavisi için bir kliniğe gitti. Operasyon sırasında birbirine yapışık olan 2 implant hastanın dişinden düştü.

Kaplan, yutkununca implantlar soluk borusuna kaçarak burayı tıkadı. Nefes almakta zorlanan Kaplan, Emirdağ Devlet Hastanesinde yapılan ilk müdahalenin ardından Afyonkarahisar’da başka bir hastaneye sevk edildi.
Kaplan’ın akciğer girişinden implantlar başarıyla çıkarıldı.
Belçika Brugge hapishanesinde firar paniği
1
Boşanma davasında eşlerin Türkiye’deki banka hesapları paylaşılır mı?
45427 kez okundu
2
Belçika’da Cumhurbaşkanlığı ikinci tur seçimleri için 3 seçim bölgesinde oy kullanılacak
25436 kez okundu
3
YURTDIŞINDA YAŞAYAN TÜRKLERE E – DEVLET SİSTEMİNİN FAYDASI VAR MI ?
20077 kez okundu
4
Genç Bedirhan’a ölüm hiç yakışmadı
19670 kez okundu
5
Belçika’nın Gent şehrinde Merve Akbel tren kazasında hayatını kaybetti
19466 kez okundu